Retina Doctor
Retina Doctor
  • Generic selectors
    Exact matches only
    Search in title
    Search in content
    Post Type Selectors
    Filter by Categories
    Frontpage Article
    Generic selectors
    Exact matches only
    Search in title
    Search in content
    Post Type Selectors
    Filter by Categories
    Frontpage Article
  • 03 9890 4333
 retina doctor eye specialist
Retina Doctor
  • 03 9890 4333
  • Generic selectors
    Exact matches only
    Search in title
    Search in content
    Post Type Selectors
    Filter by Categories
    Frontpage Article
    Generic selectors
    Exact matches only
    Search in title
    Search in content
    Post Type Selectors
    Filter by Categories
    Frontpage Article
  • About Dr Chauhan
    • Research Papers
    • Practice Locations
  • About the eye
    • How The Eye Works
    • The Retina
    • The Macula
    • The Vitreous
    • The Retinal Blood Vessels
    • The Lens
    • The Cornea
    • The Aqueous Humour
    • The Iris
    • The Optic Nerve
  • Tests & Consultation
    • What happens during my visit?
    • Consultation With Dr Chauhan
    • Vision Tests
    • Dilating Drops
    • Optical Coherence Tomography (OCT)
    • Wide Field Retinal Photography
    • Autofluorescence Imaging
    • Fluorescein & ICG Angiography
    • OCT Angiography
    • A-Scan Biometry
    • B-Scan Ultrasound
  • Conditions
    • Age Related Macular Degeneration (AMD)
    • Posterior Vitreous Detachment (PVD)
    • Epiretinal Membrane (macular pucker)
    • Diabetic Eye Disease (Retinopathy)
    • Retinal Vein Occlusion
    • Macular Hole
    • Retinal Detachment
    • Cataract
    • Central Serous Chorioretinopathy (CSCR)
    • Vitreomacular Traction Syndrome
    • Macular Oedema
    • Myopic Maculoschisis
    • Choroidal Naevus
    • Retinal Tear
    • Retinal Artery Occlusion (BRAO or CRAO)
    • Vitreous Haemorrhage
    • Retinoschisis
    • Macroaneurysm
    • Adult Vitelliform Dystrophy
    • Eye Floaters
  • Surgery
    • Macular Surgery
    • Surgery for Vitreoretinal Conditions
    • Cataract Surgery
    • Combined Surgery
  • Videos
    • The Basics
      • 1 How The Eye Works
      • 2 The Macula
      • 3 The Vitreous
      • 4 Retinal Blood Vessels
    • Epiretinal Membrane & Macular Hole
      • 1 Epiretinal Membrane
      • 2 Epiretinal Membrane Explained
      • 3 Epiretinal Membrane Surgery
      • 4 Benefits of Epiretinal Membrane Surgery
      • 5 Macular Hole Explained
    • Flashes and Floaters
      • 1 Posterior Vitreous Detachment
      • Retinal Tears and Detachment
    • Age-Related Macular Degeneration
      • 1 Macular Degeneration
      • 2 Macular Degeneration Explained
      • 3 Macular Degeneration Symptoms
      • 4 Macular Degeneration Treatment
    • Retinal Vein Occlusion & Diabetic Eye Disease
      • 2 Branch Retinal Vein Occlusions
      • Central Retinal Vein Occlusions Symptoms
      • 5 Diabetic Retinopathy
      • 6 Diabetic Retinopathy Treatment
      • 7 Fluorescein Angiography
  • Treatments
    • Intravitreal Anti-VEGF Injections
    • Intravitreal Injections for Age Related Macular Degeneration
    • Intravitreal Injections for Diabetic Macular Oedema
    • Intravitreal Steroid Injections
    • Floaters (Vitreous) – Treatment
    • Retinal Laser Treatment
  • Blog
Previous Image
Next Image

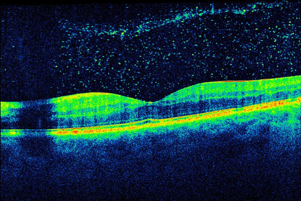
VH_OCT_edited

Full size 1425 × 950

Post navigation

Published inVH_OCT_edited

Recent Posts

  • Macular degeneration – sight loss and treatment options
  • Post Vitrectomy Recovery and Posturing
  • Macular Degeneration (AMD) – Risk Factors and Preventing Blindness
  • New Boronia Injection Clinic Now Open
  • Macular degeneration on Channel 10 News

Categories

  • Frontpage Article

Archives

  • May 2017
  • November 2016
  • May 2016
  • April 2016
Dr. Chauhan consults at Vision Eye Institute Eastern Box Hill & Boronia in Melbourne. To make an appointment please call (03) 9890 4333
Book your consultation

Quick Links

  • Home
  • Conditions
  • About Dr Chauhan
  • Surgery
  • About the eye
  • Videos
  • Tests & Consultation
  • Blog
  • Html Sitemap

Contact Information

2/852 Whitehorse Rd Box Hill
VIC 3128 Australia

Phone: (03) 9890 4333

157 Scoresby Rd Boronia
VIC 3155 Australia

Phone: (03) 9890 4333

Disclaimer: This site is not designed to and does not provide medical advice; it is primarily intended to provide further information for Dr Chauhan’s patients. There are significant risks and potential side effects for all operations and treatments as well as some tests. For advice see an ophthalmologist.

© 2026 Retinadoctor.com.au. All rights reserved.
Book an Appointment Videos
Text Resizer